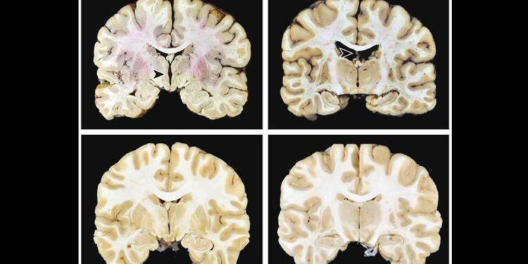
(MedPage Today) — Higher stages of chronic traumatic encephalopathy (CTE), a disorder associated with repetitive head impacts often from contact sports like American football, were tied to increased odds of dementia, autopsy data showed.
Brain…
Source link : https://www.medpagetoday.com/neurology/dementia/119618
Author :
Publish date : 2026-01-27 22:36:00
Copyright for syndicated content belongs to the linked Source.












