
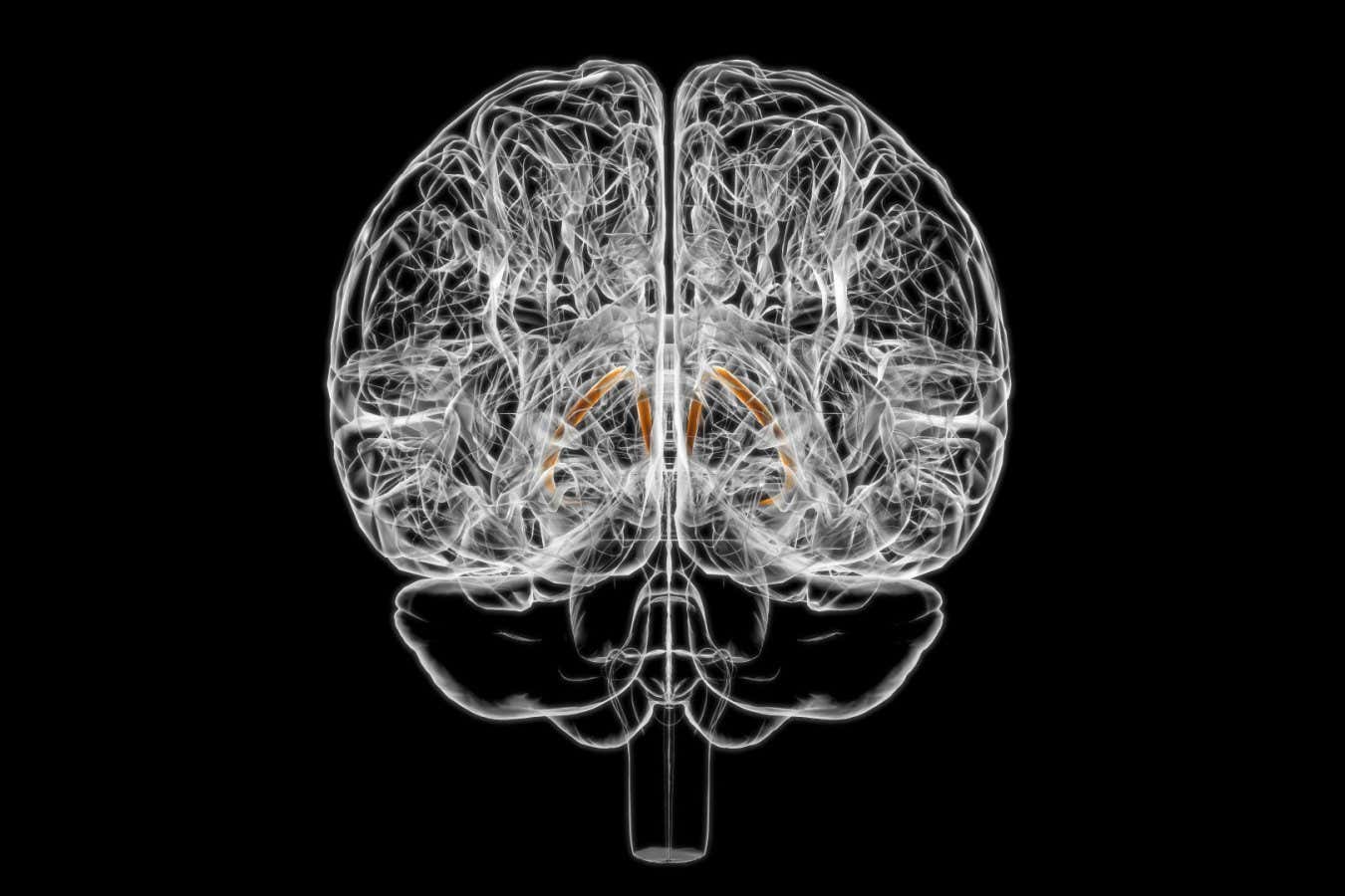
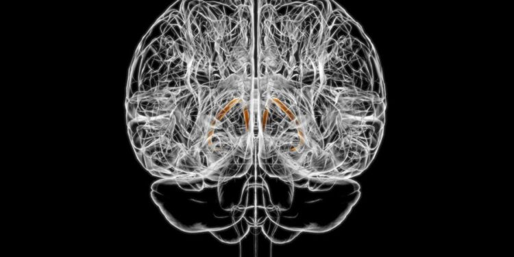
The bed nucleus of the stria terminalis is part of a bigger, banded structure in the brain called the stria terminalis
My Box/Alamy
A brain structure that seems to influence food consumption could one day be targeted to enhance interventions for weight loss or gain.
Studies have shown that activating neurons in this structure, called the bed nucleus of the stria terminalis (BNST) – located around the centre of the brain and about the size of a sunflower seed in people – increases food intake in mice. But it was unknown whether taste influences its activity.
To learn more about its function, Charles Zuker at Columbia University in New York and his colleagues first imaged the brains of mice while they drank water flavoured with one of the five basic tastes – sweet, bitter, sour, salty and umami. The researchers previously linked enjoying sweet tastes to activity in a region called the amygdala, and have now pinpointed neurons there that only became activated in response to sweet water.
These neurons then activated others in the BNST, sometimes called the “extended amygdala”. This is the first evidence that this structure receives taste signals, says Haijiang Cai at the University of Arizona, who wasn’t involved in the study.
The researchers then wanted to understand whether these activated BNST neurons influence dietary consumption, so they genetically engineered the cells so that they didn’t activate when mice tasted sweet water. Over 10 minutes, these mice drank substantially less than normal ones, suggesting that activation of BNST neurons enhances consumption of sweet tastes.
But the researchers also found that this artificial activation prompted mice to consume more water of any taste, including whether it was unflavoured, salty or bitter, despite them usually avoiding the latter taste.
In further experiments, the team found that substantially more BNST neurons were activated by sweet and salty signals in hungry or salt-depleted mice, respectively, compared with those that were fed until they were full or had normal salt levels. This suggests that the BNST integrates signals for hunger and nutrient depletion, in addition to taste, to determine food intake, says Cai.
The findings are highly relevant to people, as our BNST is very similar to that of mice, says Cai. They suggest that developing drugs that activate BNST neurons could potentially help to encourage eating in people with a severe loss of appetite, such as those undergoing cancer treatment, he says.
However, more than a dozen brain pathways have been linked to food intake, says Cai, and some of these may compensate for any prolonged drug-related changes in BNST activity, so targeting multiple feeding circuits simultaneously will probably be needed, he says.
The study could also help us achieve better results with weight-loss treatments, such as the GLP-1 drug semaglutide. These can bind to neurons in the BNST, so a better understanding of how it alters food consumption could help us gain a clearer picture of how such drugs work and how to make them more effective in people with a poor response, says Sarah Stern at the Max Planck Florida Institute for Neuroscience.
Topics:
Source link : https://www.newscientist.com/article/2495878-tiny-structure-in-the-brain-could-be-driving-how-much-you-eat/?utm_campaign=RSS%7CNSNS&utm_source=NSNS&utm_medium=RSS&utm_content=home
Author :
Publish date : 2025-09-10 16:00:00
Copyright for syndicated content belongs to the linked Source.
