
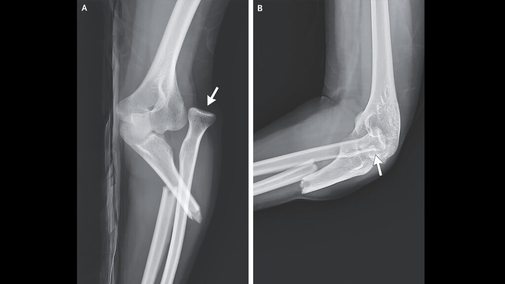
The 26-year-old arrived at the emergency department at Far Eastern Memorial Hospital in Taipei City, Taiwan, with…
Source link : https://www.medpagetoday.com/special-reports/features/119010
Author :
Publish date : 2025-12-15 16:44:00
Copyright for syndicated content belongs to the linked Source.
