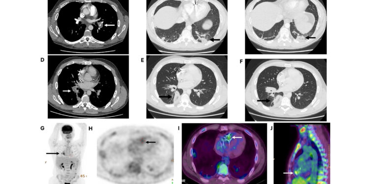
(MedPage Today) — A 39-year-old man kept developing pulmonary emboli, even after cycling through three anticoagulants.
The problem had nothing to do with those medications. It was his pacemaker.
Advanced imaging eventually showed focal radiotracer…
Source link : https://www.medpagetoday.com/casestudies/cardiology/119987
Author :
Publish date : 2026-02-23 16:24:00
Copyright for syndicated content belongs to the linked Source.






