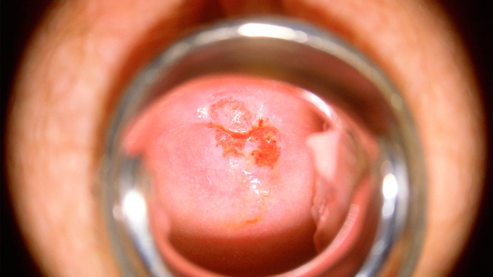
(MedPage Today) — Adolescents and young adults with prior cervical high-grade squamous intraepithelial lesions (HSIL) have an increased risk of cardiovascular disease and mortality, according to a nationwide Swedish study.
Among nearly 180,000…
Source link : https://www.medpagetoday.com/obgyn/cervicalcancer/119979
Author :
Publish date : 2026-02-20 20:57:00
Copyright for syndicated content belongs to the linked Source.










